A Consulta Tratamentos Dra. Adriana Contato Agende pelo WhatsApp
Dra. Adriana Bonfim • Invisalign Top Doctor

O alinhador é só o começo. O que muda é

Tratamento com Invisalign conduzido pessoalmente pela Dra. Adriana, com escaneamento digital de última geração, planejamento individual e acompanhamento cuidadoso em cada etapa.

Fazer Invisalign com a Dra. Adriana é escolher outra experiência de tratamento

O Invisalign já é conhecido pela discrição, conforto e liberdade no dia a dia. Mas o que realmente muda no resultado do seu tratamento não é apenas o alinhador. É o olhar aguçado de uma profissional que tem como propósito entregar sempre o melhor tratamento, com resultado definitivo para você.

Invisalign comum
Invisalign com a Dra. Adriana
Protocolos genéricos
Planejamento personalizado pela Dra. Adriana
Focado no alinhamento dentário
Avaliação completa (função, estética e equilíbrio facial)
Escaneamento básico
Scanner iTero Lumina + simulação precisa do tratamento
Acompanhamento generalizado
Acompanhamento da evolução de cada etapa, contínuo durante todo o processo
Foco no procedimento
Mais tempo dedicado à análise, explicação e evolução do caso
Alinhamento dos dentes
Resultado pensado para função, estética e longevidade

Um sistema de alinhadores invisíveis feitos sob medida para você

Os alinhadores são a parte visível do tratamento. O que realmente define a qualidade do resultado é a forma como cada movimento é planejado, monitorado e ajustado ao longo do processo.

Na Bonfim Odontologia, o Invisalign é conduzido de forma individual, com análise detalhada do caso, simulação digital e acompanhamento próximo da Dra. Adriana.

Discrição no dia a dia

Alinhadores transparentes que se adaptam à rotina com muito mais liberdade.

Planejamento antes da execução

Você entende o caminho do tratamento antes de começar, com mais clareza e segurança.

Resultado bem conduzido

O alinhador não trabalha sozinho. O resultado depende da experiência de quem planeja e da colaboração do paciente.

Quando o tratamento é bem planejado, a mudança aparece com naturalidade.

Veja o resultado do seu sorriso antes de começar

A clínica trabalha com o iTero Lumina, a plataforma mais avançada da linha iTero, integrada ao fluxo digital do Invisalign. O escaneamento é mais fluido, confortável e preciso, permitindo uma visualização detalhada do caso e uma conversa muito mais clara sobre o tratamento.

Mas tecnologia, aqui, não entra para impressionar. Ela entra para reduzir achismo, melhorar o planejamento e dar segurança ao paciente.

  • Sem massinha, sem molde desconfortável
  • Simulação animada do resultado final
  • Vê o resultado simulado já na primeira consulta
  • Você decide com clareza

Como é o tratamento Invisalign com a Dra. Adriana

Sem mistério. Um processo claro, que você acompanha em cada etapa — do diagnóstico digital ao retainer de contenção.

Avaliação digital com a Dra. Adriana
Etapa 1

Avaliação digital

Conversa completa sobre seu caso, histórico e objetivos. Consulta de diagnóstico, não de venda — sem pressão, sem pressa.

Escaneamento 3D iTero
Etapa 2

Escaneamento 3D iTero

O scanner faz um mapeamento preciso dos seus dentes em poucos minutos. Sem massinha. Sem desconforto. Modelo digital imediato.

Simulação 3D ClinCheck
Etapa 3

Simulação do resultado

Com o software ClinCheck, você visualiza em animação como seus dentes vão se mover — e como vai ficar o resultado final. Só começa quando você aprovar.

Alinhadores Invisalign produzidos
Etapa 4

Produção dos alinhadores

Seus alinhadores são produzidos pela Align Technology nos Estados Unidos, em série numerada, prontos para uso progressivo.

Acompanhamento do tratamento
Etapa 5

Acompanhamento + contenção

Consultas a cada 6 a 8 semanas com a Dra. Adriana. Ao final, você recebe o retainer de contenção — seu resultado protegido a longo prazo.

Tratamento Invisalign - Dra. Adriana Bonfim

O Invisalign trata mais casos do que você imagina

O Invisalign é pra você! Ele pode tratar desde desalinhamentos mais simples até casos mais complexos.

Apinhamento (dentes tortos)

Quando não há espaço suficiente e os dentes ficam sobrepostos ou projetados — caso mais comum em adultos.

Diastema (espaços entre os dentes)

Fecha gaps e espaços de forma gradual e previsível, sem cirurgia nem resinas temporárias.

Mordida cruzada, aberta ou profunda

Corrige o encaixe entre arcadas superior e inferior — essencial para saúde da ATM e mastigação.

Recidiva ortodôntica

Para quem já fez aparelho na adolescência e viu os dentes voltarem a se desalinhar com o tempo.

Casos estéticos — preparação para facetas

Alinhamento ortodôntico antes de lentes ou facetas, permitindo uma estética mais conservadora e duradoura.

O que faz diferença no seu Invisalign não é só o alinhador. É quem planeja o caso.

A Dra. Adriana acompanha pessoalmente o diagnóstico, o planejamento e a evolução de cada tratamento com Invisalign.

Com 24 anos de experiência clínica e reconhecimento como Invisalign Top Doctor — título concedido apenas a profissionais com histórico comprovado de cases concluídos — ela conduz cada caso com um olhar que vai além do alinhamento dentário.

O objetivo não é apenas entregar dentes retos, mas um resultado coerente com a face, com a função e com a vida do paciente.

Aqui, seu tratamento não é delegado de forma automática nem conduzido como protocolo genérico.

Ele é planejado por quem entende que previsibilidade, segurança e estética dependem de decisão clínica bem feita.

24 anos de experiência clínica Invisalign Top Doctor Planejamento individualizado Acompanhamento pessoal da Dra. Adriana Clínica com diagnóstico digital de alta precisão
"Quando o paciente entende o próprio caso com clareza, a decisão passa a ser muito mais segura. É assim que eu gosto de conduzir cada tratamento."

Veja o que nossos pacientes estão dizendo

Perfeito, desde a recepção sempre com arranjo de flores natural, café, água! Dra. Adriana uma profissional incrível, estou super satisfeita com meu tratamento com Invisalign!!

Carol R Marra

Uma equipe de profissionais especializados de qualidade e um ótimo atendimento! 😍 Estou amando meu resultado com Invisalign, a Dra. Adriana Bonfim é maravilhosa! 🤩♥️

Jessica Silva

Atenção, cuidado, profissionalismo, objetividade, o tratamento dentário, através do uso do Invisalign, de forma segura, rápida. Parabéns à Bonfim Odontologia por tudo!

Denise Santo

A Dra. Adriana é uma excelente profissional, meus filhos são pacientes dela há mais de 2 anos e eles adoram. Profissional e muito didática ao explicar o tratamento. Indicada 100%

Alexandre Trentini Nunes da Silveira

Doutores e secretárias incríveis e simpáticos, nos tratam bem do começo ao fim, fazem a gente se sentir em casa. Nota 10.

Enzo Martins

Atendimento excelente, profissionais competentes, um ambiente acolhedor com energia maravilhosa.

Claudete Gaio
Avaliações verificadas no Google

Resultados reais tratados pela Dra. Adriana

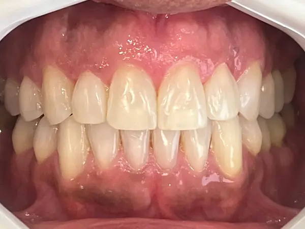
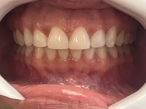
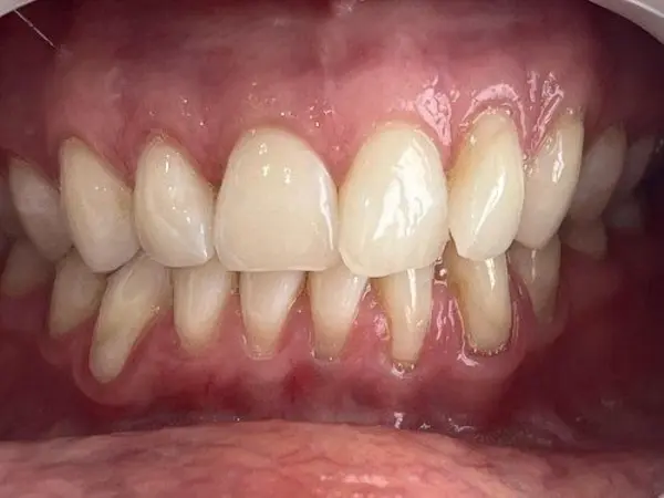
Antes - tratamento Invisalign apinhamento moderado Antes
Depois - tratamento Invisalign apinhamento moderado Depois
Apinhamento moderado

Mulher — 14 meses

Apinhamento moderado superior e inferior. Tratamento com Invisalign, alinhamento completo da arcada e harmonização do sorriso.

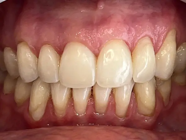
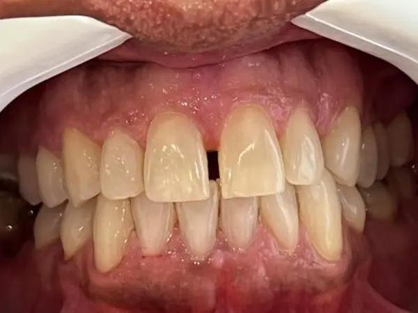
Antes - tratamento Invisalign para diastema Antes
Depois - tratamento Invisalign para diastema Depois
Diastema

Homem — 9 meses

Diastema central com leve apinhamento nos dentes laterais. Tratamento com Invisalign moderado, fechamento completo do espaço e alinhamento da arcada.

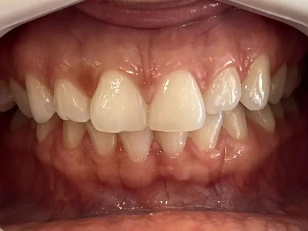
Antes - tratamento Invisalign alinhamento leve Antes
Depois - tratamento Invisalign alinhamento leve Depois
Alinhamento leve

Mulher — 11 meses

Apinhamento leve com sobreposição anterior. Tratamento com Invisalign moderado, alinhamento da arcada e contorno do sorriso harmonizado.

Todos os casos publicados são de pacientes com autorização formal para divulgação de imagem. Resultados individuais variam conforme o caso.

Dúvidas frequentes

O Invisalign realmente funciona para adultos?
Sim. O Invisalign é hoje uma das principais escolhas de pacientes adultos que querem alinhar os dentes com mais discrição e liberdade. O que determina se funciona para você é a avaliação do seu caso específico, não a sua idade.
Quanto tempo dura o tratamento?
Depende do seu caso. Casos leves: 6 a 12 meses. Casos moderados: 12 a 18 meses. Casos mais complexos: 18 a 24 meses. Na sua avaliação com a Dra. Adriana, você recebe uma estimativa personalizada baseada no escaneamento 3D — não um intervalo vago.
Quanto custa o Invisalign em Curitiba?
O investimento varia conforme a complexidade do caso e o tipo de planejamento necessário. Na avaliação, você entende seu diagnóstico, visualiza o plano e recebe o valor exato para o seu tratamento.
Invisalign dói?
Pode haver uma sensação de pressão ou leve desconforto nos primeiros 2 a 3 dias de cada troca de alinhador — é sinal de que o tratamento está funcionando. Não é dor aguda, não impede suas atividades e passa rapidamente. Comparado ao aparelho fixo, é significativamente mais confortável.
Precisa usar 22 horas por dia. É mesmo possível manter?
É a objeção mais comum — e a mais superestimada. Na prática você usa enquanto dorme, no trabalho e na maior parte do tempo em casa. Tira apenas para comer e escovar. A maioria dos pacientes adapta em 2 a 3 dias sem perceber. O que compromete o resultado não é o dia pontual em que você esqueceu — é o padrão de negligência.
E se meu caso for complicado — o Invisalign resolve?
A Align Technology evoluiu muito nos últimos anos. Casos que antes eram considerados inviáveis para alinhadores hoje são tratados com Invisalign, incluindo mordidas cruzadas, profundas e abertas. Por isso a avaliação é indispensável: para saber o que faz sentido no seu caso, com segurança e honestidade.
Qualquer ortodontista faz Invisalign ou precisa ser certificado?
Embora o produto seja o mesmo, a experiência clínica do profissional muda completamente a forma como o caso é conduzido. A certificação Top Doctor reconhece volume, experiência e histórico consistente de tratamentos finalizados. A Dra. Adriana é Invisalign Top Doctor — com histórico comprovado pela fabricante.
Como é o escaneamento 3D? Preciso de moldagem com massinha?
Não. O iTero faz um escaneamento digital dos seus dentes em poucos minutos, sem nenhuma massinha ou material na boca. É um processo simples, rápido e muito mais preciso que moldes tradicionais. Ao final, você já consegue visualizar uma prévia digital da sua boca.
Vou poder ver como meu sorriso vai ficar antes de decidir?
Sim. Esse é um dos diferenciais do tratamento digital. Com o iTero e o software ClinCheck, a Dra. Adriana gera uma simulação do movimento dos seus dentes e do resultado final. Você aprova o plano antes do primeiro alinhador ser produzido.
Posso comer normalmente durante o tratamento?
Sim. Você remove o alinhador para comer e beber qualquer coisa que não seja água. Não há restrições alimentares — diferente do aparelho fixo, em que comida crocante, pegajosa ou dura pode quebrar bráquetes. Você apenas escova os dentes antes de recolocar o alinhador.
Posso começar a avaliação sem compromisso de fechar o tratamento?
Sim. A avaliação existe para você entender o seu caso, ver o que o Invisalign pode fazer pela sua boca e tomar uma decisão informada. Não há pressão para fechar na consulta. A Dra. Adriana te apresenta o diagnóstico, o plano e o valor — a decisão é inteiramente sua.

Sua pergunta não está aqui? Fale direto no WhatsApp — sem compromisso.

Pronto para começar seu tratamento Invisalign?

Agende sua avaliação com a Dra. Adriana. Você sai da consulta com diagnóstico digital completo, simulação 3D do seu sorriso final e o valor exato do seu caso.

Sem pressa. Sem pressão. A decisão é sua.

Uma clínica feita para você se sentir bem

No coração do Água Verde, Curitiba. Com atendimento humano e personalizado.

Endereço

Av. Rep. Argentina, 1.160 - 6º Andar
Água Verde, Curitiba - PR
CEP 80620-010

Telefone

(41) 3503-6333

WhatsApp

(41) 99999-3637
SR Park - Estacionamento conveniado Bonfim Odontologia

Estacionamento

SR Park – Av. Rep. Argentina, 1.070

Conveniado com desconto exclusivo para pacientes.

Antes de ir, que tal tirar uma dúvida?

Converse com a equipe da Dra. Adriana Bonfim. Sem compromisso, sem pressão — só uma conversa para esclarecer o que você precisa.

Quero tirar uma dúvida agoraTirar uma dúvida Falar com um especialista da equipeFalar com especialista

Este site utiliza cookies para melhorar sua experiência. Ao continuar navegando, você concorda com nossa Política de Privacidade e Termos de Uso.

Bonfim e Bonfim Dent. Associados Ltda
CNPJ 08.747.175/0001-79

Agendar pelo WhatsApp